曙光医院研究团队开辟脓毒症免疫调控机制的新视角
发布时间:2025.11.24点击:10
近日,曙光医院麻醉科、针刺麻醉研究室宋建钢主任团队与科技实验中心孔晓妮研究员团队开展联合攻关,在国际学术期刊Advanced Science上发表了题为“Hepatocyte-Specific GSDMD Deficiency Aggravates Sepsis by Disrupting Non-Canonical Secretion of Anti-Inflammatory Factors”的研究论文。该研究首次揭示了肝细胞中Gasdermin D(GSDMD)蛋白在脓毒症中扮演着至关重要的保护性角色,为临床防治这一高死亡率疾病提供了新的理论依据和潜在靶点。
脓毒症是由感染引起的全身性炎症反应失控综合征,是导致重症监护病房患者死亡的主要原因之一,其病理机制复杂,涉及多器官功能障碍。肝脏作为核心代谢与免疫器官,在脓毒症进程中起着“承上启下”的关键作用。GSDMD蛋白是细胞焦亡的“执行者”,但其在肝细胞中的具体功能一直是未解之谜。破解这一谜题,对于深入理解脓毒症机制、开发新的干预策略具有重要意义。
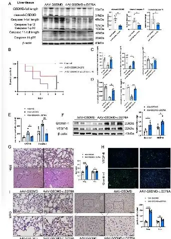
研究团队通过基因编辑技术,构建了肝细胞特异性GSDMD敲除(GSDMDhep⁻/⁻)的小鼠模型。在经典的脓毒症模型实验中,观察到与传统认知不同的现象:GSDMD的缺失非但没有缓解病情,反而显著加重了脓毒症小鼠的炎症反应和多器官损伤,并降低了其生存率。这一发现改变了“GSDMD主要促进炎症”的传统观点。

为阐明其背后的分子机制,研究团队发现GSDMD在肝细胞中形成的膜孔,其主要功能是作为一种“特殊通道”,促进抗炎因子VEGF-B和Gremlin-1的非经典分泌。这些被释放的抗炎因子能够有效抑制巨噬细胞等免疫细胞产生IL-6、TNF-α等促炎因子,从而缓解脓毒症导致的过度炎症反应,对机体起到保护作用。
研究的说服力在于“逆转实验”:当向GSDMD敲除小鼠的肝细胞中特异性回补完整的GSDMD蛋白后,脓毒症的加重表型得到了显著改善。

本项研究不仅加深了学界对GSDMD生物学功能的认识,开辟了脓毒症免疫调控机制的新视角。未来,团队将继续深化针刺在调控GSDMD通路中的研究,积极推动科研成果向临床应用的转化。本研究得到了国家自然科学基金等项目资助。(曙光医院)


